Dental Fillings in Edgware

Dental decay is one of the most prevalent oral health conditions worldwide — yet with the right care, it is also one of the most preventable. At Stag Lane Dental, we prioritise prevention above all else. Our experienced dentists and hygienists work closely with patients to improve oral hygiene habits, refine diet, and provide tailored fluoride advice — all designed to help you keep your natural teeth for life.

When decay or damage does occur, dental fillings offer a reliable, time-tested solution. A filling restores the shape, strength, and function of a tooth that has been affected by decay, wear, or trauma — protecting it from further deterioration and helping you eat, speak, and smile with confidence.

At Stag Lane Dental, we offer both tooth-coloured composite fillings and traditional amalgam fillings.
Our team will always recommend the most clinically appropriate option for your individual situation, taking into account the location and size of the cavity, your aesthetic preferences, and your overall oral health.

What Is a Dental Filling?

A dental filling is a restorative material used to repair a tooth that has been damaged by decay, fracture, or wear. During the procedure, the decayed or damaged portion of the tooth is carefully removed and the resulting cavity is cleaned and filled with a suitable material — sealing the tooth against bacteria, restoring its structure, and returning it to full function.

Modern filling materials have advanced significantly in both aesthetics and durability. Today’s composite (tooth-coloured) fillings blend seamlessly with your natural teeth and require less removal of healthy tooth structure than older techniques, making them a popular and clinically sound choice for most patients.

Signs You May Need a Dental Filling

Tooth decay does not always cause pain in its early stages, which is why regular dental check-ups are so important. However, the following signs and symptoms may indicate that a filling or other restorative treatment is needed:

  • Persistent toothache, throbbing, or aching pain in or around a tooth
  • Sharp sensitivity to hot, cold, or sweet food and drink
  • A visible hole, pit, or dark spot on the surface of a tooth
  • Pain or discomfort when biting or chewing
  • A lost, cracked, or broken filling leaving the tooth exposed
  • A rough or sharp edge on a tooth that catches on the tongue or cheek
  • Food consistently becoming trapped in the same area between teeth

If you are experiencing any of these symptoms, we encourage you to contact Stag Lane Dental promptly. The earlier decay or damage is treated, the simpler and less invasive the treatment is likely to be.

fillings-treatment

Types of Dental Fillings Available

We offer two main types of filling material at Stag Lane Dental. During your consultation, we will advise which option is most appropriate for your tooth and your circumstances.

Amalgam (Silver) Fillings

Amalgam fillings are a well-established, highly durable option made from a mixture of metals including silver, tin, and copper. Although less aesthetic than composite, they have an excellent long-term clinical track record and remain a suitable choice for larger cavities in back teeth where appearance is less of a priority.

Key advantages of amalgam fillings:

  • Exceptionally strong and resistant to wear — ideal for high-pressure back teeth
  • Long clinical lifespan of 10 to 15 years or more with proper care
  • Cost-effective option, particularly for larger restorations
  • Less sensitive to moisture during placement — reliable in difficult-to-access areas

Fees: Silver (Amalgam) Filling — £95 to £145

We will always discuss both options clearly with you, including the benefits, limitations, and costs involved, so that you can make a fully informed decision about your treatment.

Composite (White) Fillings

Composite fillings are made from a tooth-coloured mixture of glass and resin, carefully matched to the shade of your natural teeth. They have become the most popular filling choice for patients seeking a natural, discreet result and are suitable for both front and back teeth.

Key advantages of composite fillings:

  • Tooth-coloured and virtually invisible — ideal for visible teeth
  • Bonds directly to the tooth, requiring less removal of healthy enamel
  • Supports and strengthens the remaining tooth structure
  • Can be used to repair chips and minor cosmetic imperfections as well as cavities
  • Completed in a single appointment in most cases

Fees:

  • Small Composite Filling — from £150
  • Medium Composite Filling — from £200
  • Large Composite Filling — from £250

The Dental Filling Procedure

Having a dental filling at Stag Lane Dental is a straightforward procedure, usually completed in a single appointment. Here is what you can expect from start to finish:

  • Step 1 — Examination and X-rays: We assess the extent of the decay or damage, often using digital X-rays to see beneath the surface of the tooth
  • Step 2 — Local anaesthetic: The area around the tooth is numbed so you remain completely comfortable throughout the procedure
  • Step 3 — Decay removal: The decayed or damaged material is gently removed, and the cavity is cleaned and shaped to receive the filling
  • Step 4 — Filling placement: The chosen filling material is placed and shaped to match your natural tooth contours — composite fillings are hardened using a special curing light
  • Step 5 — Bite check and polish: We check your bite carefully and polish the filling to a smooth, comfortable finish so it feels completely natural

Most patients find the procedure entirely comfortable. Some mild sensitivity is normal in the days following treatment as the tooth settles, but this typically resolves quickly.

Our Approach to Restorative Dental Care

At Stag Lane Dental, we take a conservative approach to restorative dentistry — always aiming to preserve as much of your natural tooth structure as possible. We will never recommend a filling unless it is clinically necessary, and we will always explain your diagnosis, the proposed treatment, any alternatives available, and the likely outcomes before proceeding. This is in keeping with GDC guidelines on patient-centred care.

We understand that dental treatment can feel daunting for some patients. Our caring team will take the time to answer your questions, explain each step clearly, and ensure you feel completely at ease throughout your appointment. If you experience dental anxiety, please let us know — we will do everything we can to make your visit as comfortable as possible.

Replacing Old or Failed Fillings

Fillings do not last forever. Over time, they can crack, chip, or begin to leak — allowing bacteria to enter the tooth and cause further decay beneath the restoration. If you have older fillings that are worn, broken, or causing discomfort, we can assess whether replacement is clinically appropriate.

We generally recommend replacing fillings only when there is a clear clinical need to do so. Common reasons include:

  • A cracked or fractured filling that is no longer sealing the tooth effectively
  • Secondary decay developing beneath or around an existing filling
  • A large amalgam filling causing the tooth to flex and risk fracture
  • A filling that has worn down significantly and is affecting your bite
  • Persistent sensitivity or discomfort around a previously treated tooth
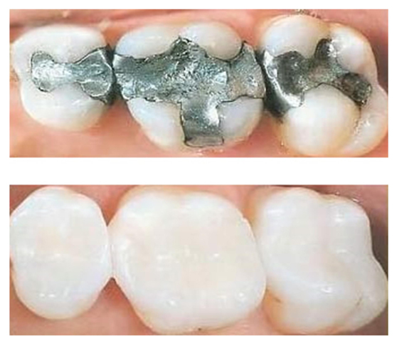
Before and after photo of silver fillings and white fillings

Book Your Dental Filling Appointment in Edgware

If you are experiencing toothache, sensitivity, or have concerns about a tooth, do not put off seeking advice. Early treatment is nearly always simpler, more comfortable, and more cost-effective. Call Stag Lane Dental on 0208 952 0839 to book your appointment, or contact us online and a member of our team will be happy to help.

Both new and existing patients are welcome. Your dental health and your comfort are our priority.

Diagram of a white tooth filling

FAQ's

Yes, in many cases it is possible to replace amalgam fillings with tooth-coloured composite alternatives. However, we generally recommend doing so only when there is a clinical reason — for example, if the existing filling is cracked, leaking, or decay has developed around it. Unnecessarily removing sound, well-functioning fillings removes healthy tooth structure and carries its own risks. We will always assess the situation carefully and give you an honest recommendation.

Modern composite materials have improved significantly and are suitable for the vast majority of cavities, including those in back teeth. However, for very large restorations in heavily loaded back teeth, amalgam or an alternative such as a porcelain inlay may offer superior longevity. We will advise you on the most appropriate option based on the specific tooth and the size of the restoration.

The lifespan of a filling depends on the material used, the size and location of the restoration, and how well you maintain your oral health. Composite fillings typically last 7 to 10 years; amalgam fillings can last 10 to 15 years or longer. Regular check-ups allow us to monitor your fillings and advise when replacement may be necessary.

The filling procedure itself is carried out under local anaesthetic, so you should feel no pain during treatment — only mild pressure or vibration at most. Some sensitivity or mild aching around the tooth is common for a few days afterwards and can usually be managed with over-the-counter pain relief. If discomfort persists or worsens, please do not hesitate to contact us.

Dental amalgam has been used safely for over 150 years and is supported by a substantial body of clinical evidence. Regulatory bodies including the UK government and the World Health Organisation consider amalgam to be safe for use in most adult patients. However, composite is now the
preferred choice for most routine restorations due to advances in the material and growing environmental considerations. We will always discuss the options openly with you.

Tooth decay does not always cause pain, particularly in its early stages. A cavity identified on an X-ray or during a routine examination may still require treatment even if you are symptom-free. Addressing decay early — when it is small and confined to the enamel or outer dentine — results in
a smaller, simpler filling and reduces the risk of progression to the nerve, which would require more complex treatment such as root canal therapy.

Our fees for fillings are as follows: Silver (amalgam) fillings £95–£145; small composite fillings from £150; medium composite fillings from £200; large composite fillings from £250. The exact cost depends on the size and complexity of the restoration. Full pricing is discussed at your consultation. Call us on 0208 952 0839 or use our online enquiry form to arrange an appointment.

If you would like to find out more about Dental Fillings in Edgware or the surrounding areas contact us.